 |
| Google Imagens |
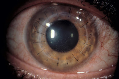
O PL, com autoria de Eduardo Bismarck (PDT-CE), segue para o Senado; pacientes aguardando o transplante aumentou cerca de 80% após a pandemia. Instituindo a criação da Semana de Mobilização Nacional para Doação de Córneas, o Projeto de Lei 278/2020, de autoria do deputado Eduardo Bismarck (PDT-CE), foi aprovado na Comissão de Constituição e Justiça e de Cidadania (CCJC) pela Câmara dos Deputados nesta terça-feira (7). Agora, o texto segue para aprovação do Senado. A Associação Brasileira de Transplante de Órgãos (ABTO) apontou que a pandemia reduziu pela metade a realização dos transplantes de córnea. A fila de pessoas que aguardam para realizar o procedimento cresceu 80%, totalizando 18,8 mil pacientes em dezembro de 2021. “A pandemia fez com que o transplante de córnea, procedimento já escasso, ficasse ainda mais raro. Muitas pessoas esperam por esse procedimento e o poder público pode e deve fazer por elas. Com a aprovação do PL e instituição da campanha de mobilização, a pauta ganha repercussão e conscientiza cada vez mais doadores”, comenta Eduardo Bismarck, autor do projeto.
Informações à Imprensa:Karla Rodrigues (www.capuchino.com.br)
Nenhum comentário:
Postar um comentário